✔Редкий случай: австралиец попал в реанимацию из-за слишком сильного запора - «Интернет и связь»
Из-за серьезных проблем с пищеварением у австралийца отказала нога. Описание необычного случая из медицинской практики опубликовано в журнале BMJ Case Report, кратко о нем рассказывает IFLScience.
Пациентом стал 57-летний житель Футскрея, небольшого пригорода Мельбурна. Он попал в отделение с болью в животе, отеком и тошнотой. Также он на протяжении суток не мог пошевелить правой ногой, на ней не чувствовался пульс, а на ощупь она была холодной.
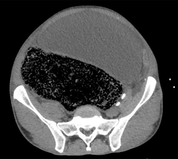
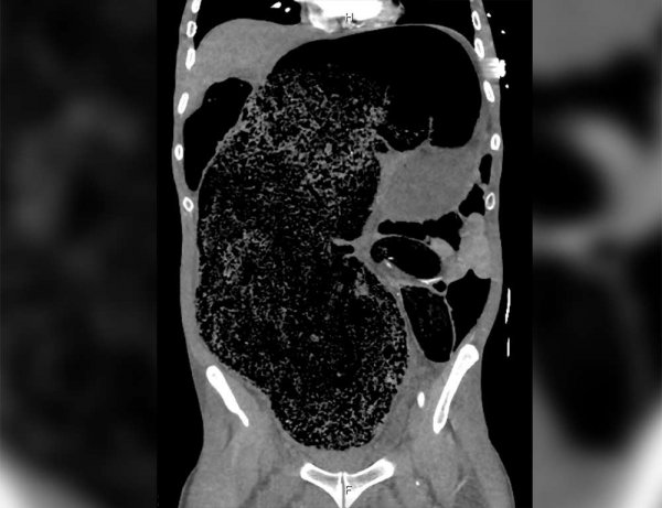
Специалисты обнаружили у мужчины синдром интраабдоминальной гипертензии — это значит, что давление в его животе было слишком высоким. Также у него были признаки почечной недостаточности и метаболического ацидоза — накопления кислот в организме.
Медики установили, что причиной этого состояния стало «массивное фекальное уплотнение неизвестной этиологии». Из-за него давление в брюшной полости поднялось, а также произошла окклюзия правой общей подвздошной артерии — ее проходимость нарушилась.
Мужчину прооперировали, чтобы удалить из кишечника лишнее вещество и снизить давление в брюшной полости. «Значительная фекальная дизимпакция была проведена вручную под общей анестезией, было удалено около двух литров кала», говорится в отчете медиков.
Дальше пациента лечили от запора. Через четыре дня он смог покинуть отделение интенсивной терапии, а еще через 13 дней восстановить способность ходить. Выздоровление было медленным, но полным, отмечают авторы отчета.
Запор такой степени может быть очень опасным, пишет IFLScience. В 2013 году британская девочка-подросток с боязнью туалетов удерживала содержимое кишечника на протяжении восьми недель. Давление внутри живота повысилось настолько, что она погибла в результате сердечного приступа. Поэтому если у вас возникли похожие проблемы, следует обратиться к врачу, а не терпеть.
Читайте также
Врачам в США удалось вылечить рак груди в терминальной стадии
Медики назвали песню, которая может спасти жизнь
"Западный человек ест фастфуд". Профессор из Франции о причинах и лечении рака кишечника

Если вы заметили ошибку в тексте новости, пожалуйста, выделите её и нажмите Ctrl+Enter
