✔Редкий случай: девушка кричала так громко, что получила коллапс легких - «Интернет и связь»
16-летняя американка озадачила специалистов, получив три редких диагноза неясным образом. Описание случая опубликовано в журнале Journal of Emergency Medicine, кратко об этом рассказывает Live Science.
Жительница Техаса попала в отделение неотложной помощи после концерта группы One Direction, на котором она очень громко кричала. Она жаловалась на затрудненное дыхание, однако у нее не было боли в груди, хрипов, кашля или других симптомов. Раньше она не сталкивалась с проблемами с легкими.
Однако врач услышал характерный хрустящий звук, когда надавливал пальцами на шею и грудную клетку (это называют крепитация). Медики предположили, что в ее мягких тканях были пузырьки воздуха, которые потрескивали, когда лопались.
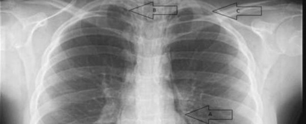
В итоге ей поставили сразу три диагноза: пневмоторакс (его еще называют спадение, или коллапс легких, скопление воздуха в плевральной полости), пневмомедиастинум (воздух в клетчатке средостения) и скопление воздуха в заглоточном пространстве.
Обычно эти заболевания связаны с травмой или болезнью легких, а сами по себе встречаются редко. «Сочетание этих трех диагнозов описывается в медицинской литературе впервые», — замечают авторы работы.
Медики пытались найти источник воздуха с помощью компьютерной томографии, но не заметили разрывов дыхательных путей.
В итоге врачи не могли точно определить, как именно воздух вырвался из дыхательных путей у девочки. Они заключили, что это произошло в результате громкого крика на концерте, где она была перед этим.
Состояние девушки не было тяжелым. Она провела в больнице ночь, после оксигенотерапии ее выписали.
Читайте также
Чем он полезен, кому вреден, и сколько его стоит пить. Краткий гид по кофе
Генетики раскрыли тайну происхождения цивилизации с острова Пасхи
На администратора фитнес-центра "Нордин" завели уголовное дело за ДТП. Он скрылся
Если вы заметили ошибку в тексте новости, пожалуйста, выделите её и нажмите Ctrl+Enter

