✔"Раковая опухоль" собаки оказалась мягкими игрушками - «Интернет и связь»
В Великобритании хозяева сенбернара выяснили, что «раковая опухоль» их питомца оказалась четырьмя съеденными игрушками. Об этом сообщает lenta.ru.
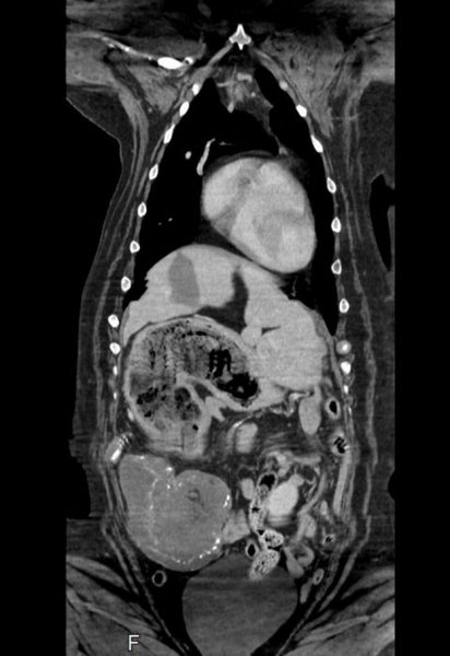
Хозяева восьмилетней Мэйси обратились в ветеринарную клинику с жалобами на ее самочувствие. Врачи провели компьютерную томографию и увидели, что ее желудок и селезенка раздулись до огромных размеров. Ветеринары предположили, что у питомца рак, и с согласия хозяев отправили его на операцию по удалению селезенки.
Однако во время операции ветеринар Ник Блэкберн (Nick Blackburn) обнаружил, что селезенка у Мэйси здорова, а «опухоль» со снимка оказалась четырьмя целиком проглоченными мягкими игрушками. «Это явно не то, что мы ожидали увидеть. Мы все знаем, что собаки любят пожевать то, что жевать не стоит, но проглотить четыре игрушки целиком еще ухитриться надо», — отметил он.
Блэкберн заверил, что собака успешно отошла от наркоза, а анализы показали, что рака у нее нет.
Хозяйка собаки Джейн Дикинсон (Jane Dickinson) объяснила, что мягкие игрушки Мэйси украла у щенков чихуахуа. Она призналась, что никогда не замечала, чтобы собака их жевала.
Читайте также
"Самой молодой пациентке — 22 года". Маммолог о раке груди и почему его выявляют так часто
Вы видите собаку или нет? Фото домашних любимцев, которые (почти) полностью слились с интерьером
"В воде она другая". Как юная пловчиха из Минска победила рак и познакомилась с Герасименей

Если вы заметили ошибку в тексте новости, пожалуйста, выделите её и нажмите Ctrl+Enter

 
	 
	 
	 
	 
	 
	 
	 
	 
	


 
	 
	 
	 
	 
	