✔В человеческом мозге нашли новую систему - «Интернет и связь»
Даже в 2017 году возможны открытия в области анатомии человека. Американские исследователи установили, что «отходы» из головного мозга удаляются через систему лимфатических сосудов. Научная работа об этом опубликована в журнале eLife, кратко об открытии сообщает издание ScienceAlert.
Лимфатическая система работает, как биологическая «канализация», забирая из тканей «отходы» — продукты метаболизма. Также она обеспечивает доступ иммунных клеток к тканям.
Долгое время считалось, что мозг исключен из этой системы. Еще в 1816 году итальянский анатом Паоло Масканьи увидел лимфатические сосуды в мозге трупов, которые он препарировал. Однако после никто не мог повторить его наблюдение.
В 2015 году лимфатическую систему обнаружили в мозге мышей. Нейрофизиолог Даниэл Рейх из Национального института здравоохранения в США решил попытаться найти эту систему и в человеческом мозге.
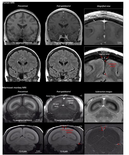
Пяти здоровым добровольцам ввели вещество под названием гадобутрол. Это контрастный реагент, который используют при магнитно-резонансной визуализации. Приборы настроили так, чтобы на изображение не попадали кровеносные сосуды. В итоге исследователи увидели разветвленную систему каналов.
«Я был очень удивлен. В медицинской школе нас учили, что мозг не имеет лимфатической системы», — рассказал автор исследования Даниэл Рейх. Теперь исследователи планируют подробнее изучить дренажную систему, чтобы узнать, как сбои в ее работе могут повлиять на здоровье.
Ранее исследования на мышах показали, что самая интенсивная циркуляция в этой системе происходит во время сна. Тогда исследователи сделали вывод, что главная функция мозга в процессе сна — вымывание вредных веществ и токсинов, которые накопились во время бодрствования.
Если вы заметили ошибку в тексте новости, пожалуйста, выделите её и нажмите Ctrl+Enter

